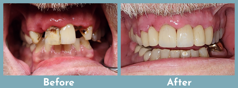
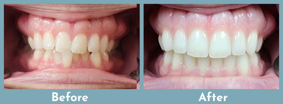
Curious to see the quality of work Dr. Kiersten Masello provides here at Crosslake Dental Center P.A.? Explore our smile gallery to find out! Here at our office, we offer a variety of cosmetic and restorative treatments to create a smile that you can feel proud of. Call us today at 218-692-4849 to schedule a consultation with our dentist and learn more about comprehensive dentistry in Crosslake, Minnesota.
Request an Appointment
Ready to take the first step towards optimal oral health? Get in touch with us today!
218-692-4849





